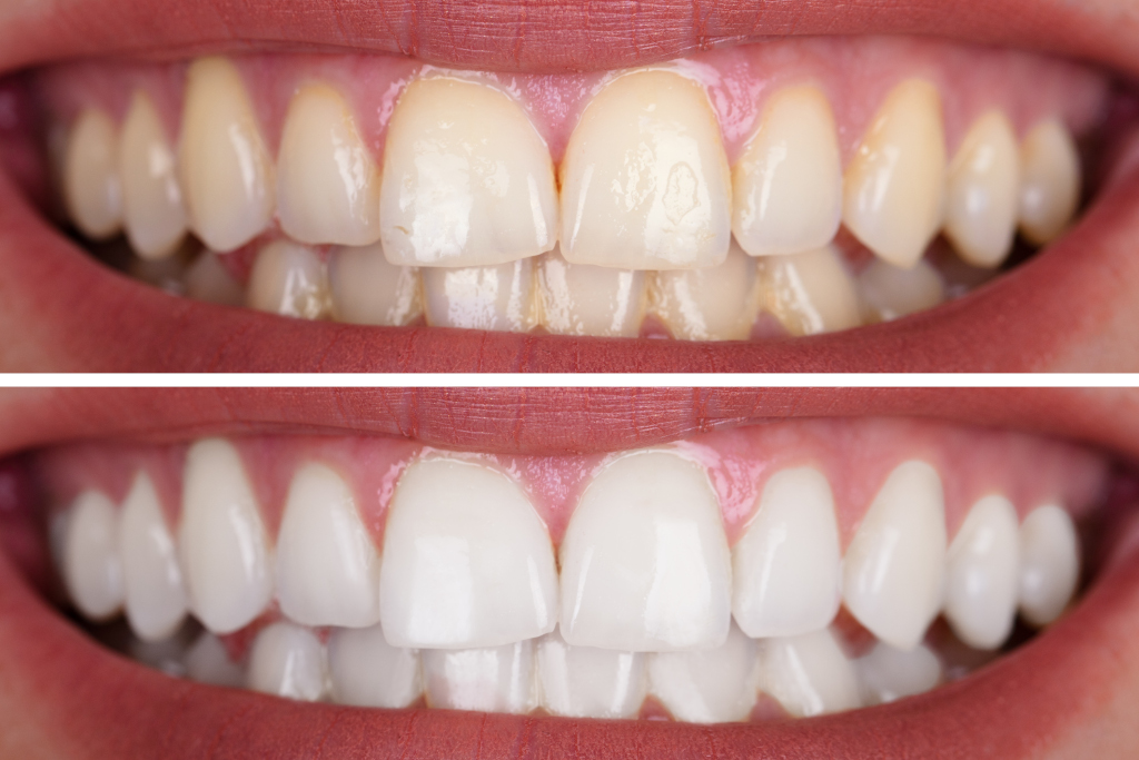
Что такое отбеливание зубов и как оно работает
Отбеливание зубов — это косметическая процедура, направленная на улучшение цвета зубной эмали. С возрастом или из-за внешних факторов зубы могут приобретать желтоватый или сероватый оттенок, что влияет на эстетику улыбки и общее впечатление. Этот процесс позволяет вернуть зубам светлый и привлекательный тон, повышая уверенность в себе и улучшая внешний вид.
В основе отбеливания лежит химическая реакция, в ходе которой специальные активные вещества, чаще всего перекись водорода или перекись карбамида, проникают в структуру эмали и разрушают пигменты, вызывающие потемнение. Несмотря на то, что этот процесс достаточно эффективен, его безопасность и результат во многом зависят от правильного подбора метода и концентрации отбеливающего средства, а также от индивидуальных особенностей пациента.
Важно понимать, что отбеливание воздействует только на природные ткани зуба и не влияет на цвет пломб, коронок и других реставраций. Перед процедурой стоматолог обязательно проводит тщательную диагностику, чтобы исключить наличие кариеса, воспалительных процессов и других противопоказаний. Таким образом, данный метод поможет добиться желаемого оттенка, не повредив здоровье зубов.
Основные методы отбеливания зубов
Существует несколько популярных способов отбеливания зубов, каждый из которых имеет свои особенности и подходит для различных случаев. Одним из самых распространенных является профессиональное отбеливание в стоматологической клинике. Этот метод дает быстрый и заметный результат благодаря использованию высококонцентрированных отбеливающих гелей и аппаратных технологий: LED или лазерного света для активации компонентов. Процедура проводится под контролем врача, что значительно снижает риски и помогает адаптировать лечение под конкретного пациента.
Еще одним вариантом является домашнее отбеливание с помощью кап и гелей, которые изготавливаются индивидуально после снятия слепков зубов. Этот метод более щадящий, но лечение занимает больше времени — от нескольких дней до нескольких недель. Однако для сохранения эффекта и дополнительного тона такие наборы используются часто даже после профессионального отбеливания.
Существуют также народные и бытовые средства — пасты с активированным углем, содой, лимонным соком и прочими компонентами. Несмотря на их доступность, специалисты не рекомендуют применять такие методы из-за высокой абразивности и риска повреждения эмали. Для безопасного и эффективного отбеливания рекомендуется обратиться к профессионалам.
Отбеливание зубов — это не просто косметическая процедура, а комплексный подход к сохранению здоровья и эстетики зубов, где выбор метода играет ключевую роль.
Преимущества и возможные риски профессионального отбеливания

Профессиональное отбеливание зубов имеет ряд значительных преимуществ. Во-первых, это быстрый и заметный эффект, который достигается уже после одного визита к стоматологу. Во-вторых, высококачественные материалы и новейшие технологии обеспечивают безопасность процедуры, минимизируя риск повреждения эмали или раздражения десен. Врач может точно подобрать концентрацию отбеливающего состава и оптимальную длительность воздействия, что важно для сохранения здоровья зубов.
Кроме того, клиническое отбеливание сопровождается предварительным осмотром и лечением всех проблем, связанных с зубами и деснами, что позволяет избежать осложнений. Пациенты также получают рекомендации по уходу после процедуры для поддержания результата и предотвращения повторного окрашивания зубов.
Однако у процедуры существуют и определенные риски, которые важно учитывать. После отбеливания может появиться временная чувствительность зубов, особенно к горячему и холодному. У некоторых пациентов возможны аллергические реакции или раздражение слизистой. Также отбеливание не подходит при беременности, лактации, заболеваниях десен или при наличии активного кариеса.
Перед процедурой обязательно проконсультируйтесь со специалистом, чтобы максимально снизить возможные осложнения и получить качественный результат.
Рекомендации по уходу за зубами после отбеливания
Правильный уход за зубами после отбеливания играет важную роль в сохранении достигнутого эффекта и предупреждении повторного потемнения эмали. Сразу после процедуры рекомендуется воздержаться от употребления продуктов и напитков, которые могут окрашивать зубы: красного вина, кофе, чая, ярких ягод и соусов. В первые сутки-двое лучше отдавать предпочтение мягкой и нейтральной пище.
Регулярная гигиена полости рта должна включать использование мягкой зубной щетки, неагрессивной отбеливающей пасты и зубной нити. Хорошая гигиена помогает удалять налет и снижать риск появления новых пигментных пятен. Многие специалисты советуют также использовать ополаскиватели с фтором для укрепления эмали.
Для поддержания белизны зубов рекомендуется проводить повторные процедуры отбеливания, которые назначаются стоматологом индивидуально. Также важно исключить вредные привычки, такие как курение, которые значительно ухудшают цвет зубов и сводят на нет результаты процедуры.
- Своевременно посетить стоматолога для осмотра и профессиональной чистки зубов
